Autorius: Dr. Saulius Petraičius
Vidaus ligų gydytojas, dirbantis su kompleksiniais atvejais ir lėtinių ligų valdymu. Specializuojasi integruotoje medicinoje – derina klinikinį patyrimą su šiuolaikinėmis prevencijos metodikomis. Turi reputaciją kaip kantrus, argumentuotai sprendimus aiškinantis specialistas. Domisi sveikatos sistemos valdymu ir pacientų švietimu. Daug dėmesio skiria aiškiai komunikacijai tarp gydytojo ir paciento, siekdamas mažinti nesusipratimus ir baimes.
Atsakymo variantai:1. Insulino rezistencijos gydymo galimybės 2. Insulino atsparumo gydymo būdai 3. Insulino ...
Insulino atsparumas nustatomas net iki 70 % žmonių, sergančių policistinių kiaušidžių sindromu (PKS). Manoma, kad būtent ši būklė dažnai lemia įvairius medžiagų ...2025 8 gruodžioAr insulinas skatina svorio augimą?
Pradėjus gydymą insulinu, kai kuriems žmonėms gali pastebėti, kad kūno svoris auga. Tai dažnas rūpestis sergantiems diabetu, kadangi papildomi kilogramai gali apsunkinti ...2025 8 gruodžioŠie maratono bėgikai neleido lėtinei kepenų ligai jų sustabdyti
Pirmajam keturiasdešimtmečiui artėjant, viena moteris sužinojo turinti retą, neišgydomą kepenų ligą, vadinamą pirminiu biliariniu cholangitu (PBC). Ši diagnozė nepakeitė jos aktyvaus gyvenimo: ...2025 8 gruodžioLakuninių insultų tipai ir simptomai
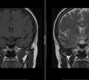
Lakunarinis insultas įvyksta tada, kai užsikemša smulki atšaka didesnio smegenų kraujagyslės. Dėl to šie insultai dažniausiai pažeidžia giliau esančias smegenų sritis, kur ...2025 8 gruodžio10 savipriežiūros patarimų sergantiems širdies nepakankamumu
Gyvenant su širdies nepakankamumu, labai svarbu nuolat stebėti savo būklę ir keisti įpročius kasdienybėje. Sėkmingas valdymas dažniausiai apima tiek gydytojo paskirtą gydymą, ...2025 7 gruodžioKaip suvaldyti palaidus išmatas sergant dirgliosios žarnos sindromu
Laisvos, vandeningos išmatos dažnai kamuoja žmones, kuriems diagnozuotas dirgliosios žarnos sindromas, ypač jeigu vyrauja viduriavimas. Tinkamos mitybos pasirinkimai, streso valdymas ir maistinių ...2025 7 gruodžioLupuso ir širdies ligų sąsaja
Vilkligė, arba sisteminė raudonoji vilkligė (SRV), yra lėtinė autoimuninė liga, kuri gali paveikti daugybę organizmo sistemų – įskaitant širdį. Širdies pažeidimai yra ...2025 7 gruodžioVilkligės poveikis senėjimo procesui
Sergant sistemine raudonąja vilklige (SLE) bėgantys metai ir natūralus senėjimas glaudžiai susiję – vilkligę veikia viso gyvenimo pokyčiai, o nutolęs amžius savo ...2025 7 gruodžioSėklidžių limfomos simptomai ir gydymas
Limfoma gali paveikti sėklides skirtingais būdais. Kartais liga prasideda tiesiogiai sėklidėse ir vadinama pirminiu sėklidžių limfoma. Kitu atveju, limfoma gali išplisti į ...2025 7 gruodžioKas naujo gydant MASH?
MASH – tai viena rimčiausių nealkoholinio suriebėjusio kepenų ligos formų, kuomet kepenyse susikaupę riebalai sukelia uždegimą. Ši būklė ilgą laiką gali nepasireikšti ...2025 6 gruodžio
Mityba
Skaitomiausi
Kuo rollatorius skiriasi nuo vaikštynės
2026 31 sausioRaumenų sumušimo simptomai ir gydymas
2026 31 sausioKulnakaulio lūžis – tai sulūžęs kulno kaulas
2026 31 sausio
Apie mus

Sveikaakis.lt – tai sveikatos naujienų ir patarimų portalas, kuriame galite rasti naudingų patarimų ir sužinoti apie galimas sveikatos rizikas.
Draugai
2021 - 2025 © Copyright Sveikaakis.lt. All Rights Reserved.

















