Sveikata
Sveikata yra svarbus dalykas kiekvieno žmogaus gyvenime. Mūsų komanda stengiasi rasti kuo daugiau naudingos informacijos apie sveikatos gerinimą ir pateikti mūsų skaitytojams.
Svarbiausi virškinimo sistemos organai ir jų funkcijos
Virškinimo sistema yra sudėtinga organų visuma, kurios pagrindinė užduotis – paversti maistą naudingomis medžiagomis ir energija, reikalinga kasdieniam mūsų organizmo darbui. Ši ...Dermio sandara ir funkcijos
Odos dermis yra vidurinysis, storiausias iš trijų pagrindinių odos sluoksnių. Dermis įsikūręs tarp epidermio (viršutinio sluoksnio) ir poodžio – čia dažnai vadinamas ...Užpakalinės tarpskilvelinės arterijos sandara
Širdį aplink apgaubiančios vainikinės arterijos yra atsakingos už pagrindinį širdies raumens aprūpinimą deguonimi prisotintu krauju. Paprastai iš aortos pagrindo išsišakoja dvi stambios ...Tavo virškinimo sistema ir jos veikimas
Mūsų virškinimo sistema atlieka itin svarbų darbą – ji paverčia maistą, kurį suvalgome, į lengvai pasisavinamas daleles. Maistas iš pradžių yra mums ...AV mazgo svarba
Atrioventrikulinis (AV) mazgas yra svarbi širdies elektrinės sistemos dalis, užtikrinanti sklandų elektrinių impulsų perdavimą iš prieširdžių į skilvelius. Nors pats mazgas labai ...Miego nauda: 10 privalumų
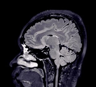
Miegas – neatsiejama mūsų kasdienybės dalis, turinti kur kas didesnės įtakos sveikatai nei dažnai įsivaizduojame. Kokybiškas poilsis ne tik atkuria jėgas, bet ...Trečiojo skilvelio sandara
Žmogaus smegenyse yra sudėtinga, skysčiu užpildytų ertmių sistema, žinoma kaip skilveliai. Šis vadinamasis skilvelių tinklas susideda iš porinių šoninių skilvelių, trečiojo ir ...Kiek kartų galima dėvėti tą pačią N95 kaukę?
N95 respiratoriai vis dažniau prisimenami kaip viena iš veiksmingiausių apsaugos priemonių nuo COVID-19, ypač dėl Omikron atmainos plitimo. Tyrimai rodo, kad šios ...Ekrano šviesa vakare pakeičia nuotaiką labiau, nei žmonės pripažįsta
Vakaro valandomis dažnas iš mūsų atsipalaiduoja žiūrėdamas į telefono ar kompiuterio ekraną. Atrodo, kad šis įprotis nekaltas, tačiau jo poveikis nuotaikai yra ...Pagrindiniai skirtumai tarp visuotinės sveikatos priežiūros ir socializuotos medicinos
Dažnai viešojoje erdvėje pasigirsta terminai „visuotina sveikatos priežiūra“ ir „socializuota medicina“. Nors šie žodžiai vartojami lyg būtų tapatu, jų reikšmė ir įgyvendinimo ...

















