Kaip diagnozuojamas smegenų auglys

Sužinosite
- Pirmieji ženklai ir saviįvertinimas
- Fizinis ir neurologinis ištyrimas
- Vaizdiniai tyrimai
- Pagrindinės navikų rūšys
- Kraujotakos, laboratoriniai tyrimai ir punktatai
- Biopsija ir galutinė diagnozė
- Alternatyvios būklės su panašiais simptomais
- Klausimai ir atsakymai apie diagnostiką
- Kaip nustatomas smegenų auglio buvimas?
- Kokią reikšmę diagnozei turi akių tyrimas?
- Kaip padeda neurologiniai testai?
- Ar laboratoriniai tyrimai gali atskleisti auglį?
- Ar visada biopsija yra būtina nustatant smegenų auglį?
- Ką parodo naujos kartos „skystoji biopsija“?
- Kaip aptinkama, ar auglys yra metastazinis?
Smegenų auglių diagnozė yra sudėtingas procesas, kuriam prireikia įvairių tyrimų bei sričių specialistų įsitraukimo. Pirmiausia, net ir prieš atliekant konkrečius tyrimus, gydytojas vertina neurologinius simptomus bei atlieka išsamų fizinį ištyrimą. Tik įtariant galimą pakitimą, taikomi vaizdiniai, laboratoriniai tyrimai bei biopsija.
Pirmieji ženklai ir saviįvertinimas
Didžioji dalis smegenų auglių požymių nėra akivaizdūs išoriškai. Tačiau kai kurie simptomai gali būti svarbūs ženklai, ypač jei jie pasireiškia pamažu ir iš lėto blogėja.
- Ilgalaikiai galvos skausmai (ypač jei jie nuolat blogėja ar nepriklauso nuo įprastų priežasčių)
- Matymo pakitimai
- Judesių koordinacijos sutrikimai (sunku tiesiai atsistoti ar judinti tam tikras galūnes)
- Neaiškios kilmės vėmimas
- Rankų ar kojų silpnumas, tirpimas, dilgčiojimas
- Kalbos supratimo ar tarimo sunkumai
- Traukuliai
Net ir vienas iš šių simptomų turėtų paskatinti pasikalbėti su gydytoju.
Fizinis ir neurologinis ištyrimas
Apžiūros metu gydytojas vertina refleksus, raumenų jėgą, jutimus, koordinaciją, pusiausvyrą, matymą bei kalbą. Tam tikri neurologiniai simptomai gali sufleruoti, kuri smegenų dalis paveikta. Pavyzdžiui, lokalūs jėgos sumažėjimai, akių trūkčiojimai, drebėjimas ar koordinacijos problemos abiejose kūno pusėse – visa tai gali rodyti auglio buvimą konkrečiose srityse.
Ypač didelę reikšmę turi ištyrimas oftalmoskopu – matuojant regos nervų galvutę galima aptikti patinimą, kuris dažnai reiškia padidėjusį spaudimą galvoje.
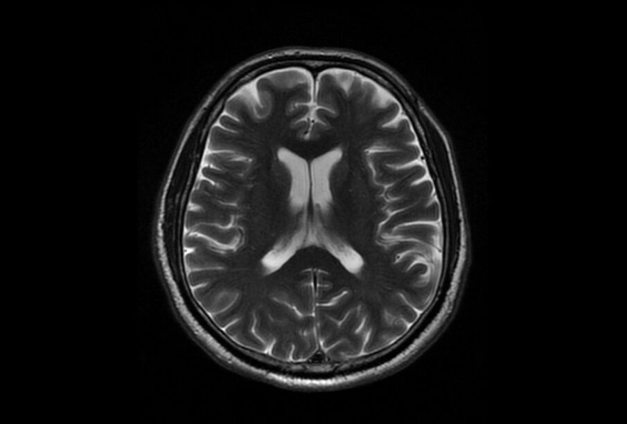
Vaizdiniai tyrimai
Nustatyti auglio buvimą ir jo ypatybes leidžia įvairūs radiologiniai tyrimai. Dažniausi – galvos magnetinio rezonanso (MRT) arba kompiuterinės tomografijos (KT) tyrimai. Šie metodai leidžia matyti auglio dydį, tikslią vietą ir padeda atskirti skirtingas navikų rūšis.
Siekiant tikslumo, dažnai naudojama kontrastinė medžiaga – ji padeda išryškinti navikus bei jų kraštus. Specializuoti tyrimai, tokie kaip funkcinis MRT ar pozitronų emisijos tomografija (PET), kartais taikomi planuojant operacijas ar tiriant sudėtingus atvejus.
Kiekvienam naviko tipui būdinga savita išvaizda vaizdinimo tyrimuose. Kai kurie augliai (pvz., oligodendrogliomos) gali sukelti kalcio sankaupas, kurios aiškiai matomos KT nuotraukose. Glioblastomos dažnai plinta į keletą galvos sričių, o metastazės linkusios formuotis šalia smulkių kraujagyslių.
Pagrindinės navikų rūšys
- Pirminiai smegenų navikai – atsiranda tiesiogiai smegenyse ir dažniausiai neplinta už jų ribų. Pagal kilmę ir agresyvumą skirstomi į daug rūšių.
- Metastaziniai navikai – į galvos smegenis atkeliauja iš kitų kūno vietų (pvz., plaučių, krūtų ar storosios žarnos). Paprastai šie navikai auga greitai ir yra sunkiau gydomi.
- Meningiomos – navikai, susiformuojantys iš smegenų dangalų (ne iš pačių smegenų audinio). Dažniausiai yra gerybinės, tačiau kartais gali atsinaujinti.
- Hipofizės navikai – priklauso pirminiams navikams ir gali paveikti viso organizmo hormonų pusiausvyrą, nes ši liauka reguliuoja daugelį hormonų.
- Gliomos – kildinamos iš pagalbinių (glinių) smegenų ląstelių, gali paveikti įvairias smegenų dalis (pvz., regos nervą ar smegenų žievę), dažnai būna agresyvios.
Kraujotakos, laboratoriniai tyrimai ir punktatai
Kraujas bei smegenų skysčio tyrimai neturėtų būti pirmasis žingsnis diagnozės kelyje, tačiau jie svarbūs ieškant hormoninių ar kitų su augliais susijusių žymenų. Pavyzdžiui, kai kurie hipofizės navikai išskiria perteklinį kiekį tam tikrų hormonų; tuo metu toks pokytis pastebimas kraujyje.
Juosmens punkcija (smegenų skysčio paėmimas) gali padėti atskleisti vėžio ląsteles ar uždegiminius procesus, tačiau didesniems navikams esant ši procedūra gali būti nesaugi. Dažniausiai ją taiko, jei įtariama infekcija ar vėžio išplitimas smegenų dangaluose.
Biopsija ir galutinė diagnozė
Tiksliausiai naviko tipą ir jo savybes padeda nustatyti biopsija – nedidelės audinio dalies paėmimas ir ištyrimas mikroskopu. Dažniausiai, jei įmanoma, atliekant biopsiją stengiamasi pašalinti kuo daugiau naviko, kad nebūtų reikalinga pakartotinė operacija.
Po biopsijos vertinama, kaip greitai auglys auga, ar yra agresyvus, kokia jo prognozė bei jautrumas gydymui. Audinio ištirtis leidžia nustatyti naviko laipsnį ir tikėtis tolimesnės eigos.
Biopsija, kaip ir kiekviena chirurginė intervencija, yra invazinė procedūra, kurios metu tenka atverti kaukolę. Po procedūros pacientui reikia laiko atsigauti, o gydytojai stebi, ar neatsiranda komplikacijų.
Alternatyvios būklės su panašiais simptomais
Neretai smegenų auglių simptomai gali sutapti su kitų ligų požymiais. Kad būtų parinktas tinkamas gydymas, būtina atmesti kitas galimas diagnozes:
- Smegenų abscesai – infekcinės kilmės židiniai, dažnai pasireiškia ūmiau, tačiau vaizdiniai tyrimai gali būti labai panašūs.
- Encefalitas – smegenų uždegimas dėl infekcijos ar autoimuninės ligos; sukelia įvairius neurologinius simptomus.
- Tuberkuliozinis meningitas – reta, tačiau vizualizuojama daugybe smulkių pažeidimų, dažnai diagnozuojama tyrus smegenų skystį.
- Neurosarkoidozė – uždegiminės kilmės liga, kuri vaizdiniais tyrimais gali priminti tiek metastazes, tiek infekcijas.
- Išsėtinė sklerozė – autoimuninė nervų sistemos liga, sukelianti demielinizacinius židinius, kartais supainiojama su augliais, ypač jei židinių nedaug ir jie dideli.
Klausimai ir atsakymai apie diagnostiką
Kaip nustatomas smegenų auglio buvimas?
Atsiradus įtartiniems simptomams ar neurologiniams pakitimams, gydytojas dažnai skiria magnetinio rezonanso tyrimą. Aptikus pakitimą, gali prireikti biopsijos, kuri padeda išsiaiškinti – ar auglys piktybinis, bei kokio tipo jis yra.
Kokią reikšmę diagnozei turi akių tyrimas?
Akių būklės įvertinimas leidžia suprasti, ar auglys daro spaudimą regos nervui. Pastebėti regos lauko pokyčiai (neryškus matymas, dvigubas vaizdas, matymo susiaurėjimas) gali rodyti spaudimą regos takams ar pažeidimą regos nervuose.
Kaip padeda neurologiniai testai?
Vertindami atmintį, kalbą, judesius, refleksus ir koordinaciją gydytojai gali nustatyti ne tik, ar yra smegenų auglys, bet ir kurioje galvos dalyje jis galėtų būti. Net paprasti neurologiniai testai leidžia susiaurinti diagnostikos paieškas.
Ar laboratoriniai tyrimai gali atskleisti auglį?
Vien laboratoriniai tyrimai neparodo, ar žmogus turi smegenų naviką. Tačiau jie gali padėti įtarti tam tikras vėžio formas, jei kraujyje ar smegenų skystyje aptinkami augliams būdingi žymenys – hormonai ar baltymai.
Ar visada biopsija yra būtina nustatant smegenų auglį?
Daugeliu atvejų, jei pagal vaizdinius tyrimus kyla abejonių, reikia audinio mėginio patvirtinimui. Vis dėlto, kai kurių navikų ypatumai gali būti tokie akivaizdūs, kad papildomų invazinių procedūrų neprireikia. Kai kuriais atvejais pakanka papildomų vaizdinių ar molekulinių tyrimų.
Ką parodo naujos kartos „skystoji biopsija“?
„Skystoji biopsija“ – tai modernus metodas, kai kraujyje ieškoma auglio DNR fragmentų. Šis tyrimas dar nėra plačiai naudojamas, bet jau duoda vilčių diagnozuojant kai kurias smegenų vėžio formas ir vertinant jų agresyvumą.
Kaip aptinkama, ar auglys yra metastazinis?
Navikų plitimą smegenyse dažniausiai parodo kontrastinis MRT. Kartais vėžinės ląstelės aptinkamos ir tyrus smegenų skystį juosmens punkcijos būdu, tačiau pagrindinis įrankis vis dar išlieka vaizdiniai radiologiniai tyrimai, leidžiantys įvertinti ne tik auglio buvimą, bet ir jo išplitimą organizme.














