Hipertenzinės retinopatijos simptomai ir gydymas

Sužinosite
Hipertenzinė retinopatija – tai ilgalaikio padidėjusio kraujospūdžio sukeliama komplikacija, pažeidžianti akis. Ši būklė paveikia tinklainės kraujagysles. Tinklainė yra jautri šviesai tinklelis, esantis akies dugne – ji atsakinga už šviesos signalų pavertimą nerviniais impulsais, kurie keliauja į smegenis ir leidžia mums matyti pasaulį.
Kaip pažeidimas vystosi
Nuolat padidėjęs kraujospūdis laikui bėgant kenkia kraujagyslių sienelėms. Dėl ilgalaikio spaudimo tinklainės kapiliarai sustorėja, sukietėja ir susiaurėja. Kai kraujagyslės tampa pernelyg siauros, tinklainė nebegauna reikiamo deguonies bei maisto medžiagų – išsivysto deguonies stygius ir audiniai nukenčia.
Pirmieji simptomai
Hipertenzinės retinopatijos požymiai dažnai būna vos juntami, tačiau kai kurie žmonės susiduria su:
- Matymo pablogėjimu arba neryškiu regėjimu
- Sprogstančiomis kraujagyslėmis ir kraujosruvomis akies paviršiuje
- Dvigubu regėjimu
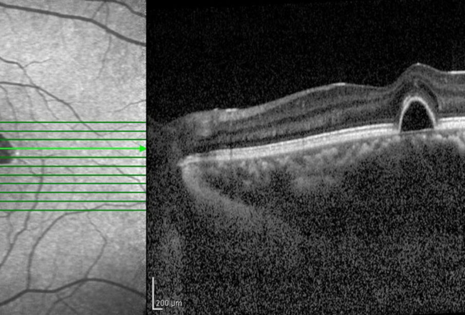
Ką galima pamatyti tyrimo metu
Oftalmologas ar optometristas, atlikdamas akių apžiūrą, gali aptikti būdingus tinklainės pokyčius. Jų nustatymui kartais prireikia papildomų tyrimų – pavyzdžiui, optinės koherentinės tomografijos ar fluorescencinės angiografijos. Šie metodai padeda pastebėti patinimą ir net smulkiausią kraujagyslių pratekėjimą. Akių dugno apžiūros metu gydytojas gali pamatyti:
- Kraujagyslių susiaurėjimą: tinklainės arterijos tampa labai siauros
- Arterijų ir venų persikirtimus: arterijos spaudžia venas ties jų susikirtimu
- Kraujagyslės sienelės sustorėjimą, dėl kurio ši ima priminti varinį laidą
Sunkesni padariniai
Ilgainiui vykstant pažeidimams gali kilti ir rimtesnių komplikacijų:
- Tinklainės venos užsikimšimas, kurį dažnai lemia arterijos ir venos susikirtimas; dėl to venos gali trūkti
- Paviršiniai, į liepsnelę panašūs, kraujo išsiliejimai tinklainėje
- Vadinamosios „vilnos gumulėliai“ – balti ploteliai, kuriems trūksta deguonies
- Gelsvi riebalų sankaupos, atsirandančios dėl per kraujagysles išsiliejusio skysčio
- Regos nervo galvutės patinimas – dažnai yra pavojingo spaudimo ženklas, reikalaujantis neatidėliotino gydymo
Kitos galimos akių ligos dėl spaudimo
- Priekinės regos nervo išemija
- Centrinės tinklainės venos užsikimšimas
- Atšakos arterijos užsikimšimas
- Akies nervų paralyžiai
- Cukrinio diabeto sukeltų tinklainės pažeidimų prognozės blogėjimas
- Naujų kraujagyslių augimas akyje (neovaskulinė glaukoma)
- Makroaneurizmos
- Akies išemijos sindromas
Kaip gydoma hipertenzinė retinopatija
Pirmasis žingsnis – kruopščiai reguliuoti kraujospūdį. Jei susiformuoja komplikacijos, akių gydytojai gali taikyti specialias injekcijas į akį, atlikti lazerines procedūras ar prireikus chirurginę intervenciją. Svarbiausia – stabilizuoti bendrą kraujospūdį ir spręsti konkrečius akių pažeidimus.
Profilaktika ir gyvenimo būdas
Laiku pradėtos prevencinės priemonės padeda išvengti arba bent jau sulėtinti tinklainės pažeidimus. Rekomenduojama reguliariai vartoti paskirtus kraujospūdžio vaistus, būti fiziškai aktyviems, mažinti druskos kiekį racione ir vengti rūkymo. Tokie žingsniai saugo tiek regėjimą, tiek bendrą sveikatą.














